2436 Professional Drive, Roseville, CA 95661

Smile Gallery

My Tooth Spa Dentistry   Orthodontics | Laser Dentistry, Oral Cancer Screening and Veneers

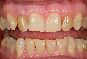
Before

My Tooth Spa Dentistry   Orthodontics | Sports Mouthguards, Extractions and Dental Bridges

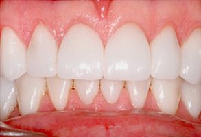
After

My Tooth Spa Dentistry   Orthodontics | Periodontal Treatment, Laser Dentistry and Dental Fillings

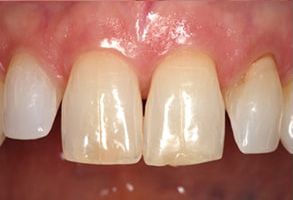
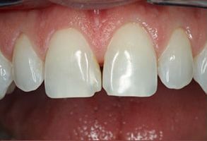
Before

My Tooth Spa Dentistry   Orthodontics | Crowns  amp  Caps, All-on-4 reg  and Dental Bridges

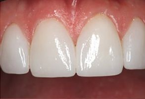
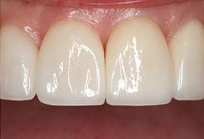
After

My Tooth Spa Dentistry   Orthodontics | Veneers, Implant Dentistry and Sports Mouthguards

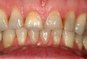
Before

My Tooth Spa Dentistry   Orthodontics | ClearCorrect reg , Sports Mouthguards and Pediatric Dentistry

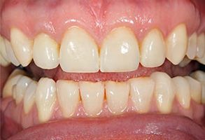
After

My Tooth Spa Dentistry   Orthodontics | Periodontal Treatment, Sedation Dentistry and Extractions

Before

My Tooth Spa Dentistry   Orthodontics | Periodontal Treatment, Cosmetic Dentistry and Dental Fillings

After

My Tooth Spa Dentistry   Orthodontics | Emergency Treatment, Extractions and Night Guards

Before

My Tooth Spa Dentistry   Orthodontics | Sleep Apnea, Veneers and Emergency Treatment

After

My Tooth Spa Dentistry   Orthodontics | Night Guards, Invisalign reg  and Crowns  amp  Caps

Before

My Tooth Spa Dentistry   Orthodontics | Crowns  amp  Caps, Invisalign reg  and Implant Dentistry

After

My Tooth Spa Dentistry   Orthodontics | All-on-4 reg , TMJ Disorders and Oral Exams

Before

My Tooth Spa Dentistry   Orthodontics | Crowns  amp  Caps, Extractions and Laser Dentistry

After